- 发布人:xnxy120
- 时间:2025-04-25
- 来源:
- 浏览量:829
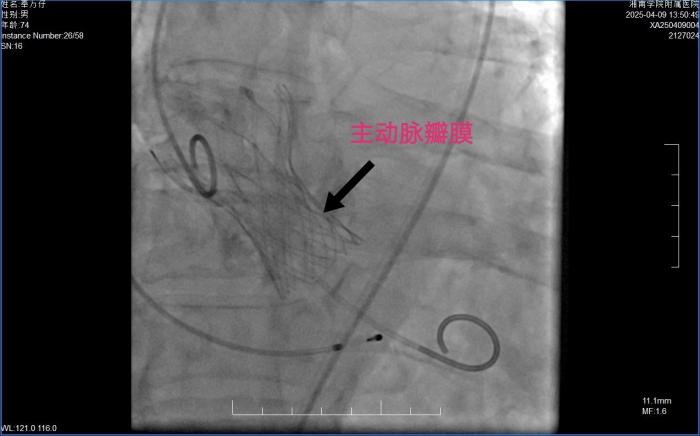
本网讯(通讯员 李虎)4月9日,湘南学院附属医院上演了一场生命接力。在多学科专家的紧密配合下,医院顺利为一名主动脉瓣膜重度狭窄的老年患者完成 “经导管主动脉瓣膜置换术(TAVR)”,这一成功案例标志着该院心血管内科专业再次实现重大突破,其心血管疾病诊疗能力和多学科协作水平迈上了新台阶。
![]()
湘南学院附属医院心血管内二科主任李维军介绍,主动脉瓣狭窄是一种常见且严重的心脏瓣膜疾病。以往,传统外科开胸手术是主要治疗手段,不仅创面大,患者恢复时间长,对老年患者和身体状况较差的患者来说,手术风险也相对较高。而 TAVR 作为一种微创介入手术,无需开胸,通过导管就能完成瓣膜置换,具有创伤小、恢复快、风险低等特点,逐渐成为主动脉瓣狭窄的主流治疗方式。不过,TAVR 术式操作复杂,需要心外科、麻醉科、神经内科、医学影像科、超声科等多学科团队紧密协作,同时对技术水平、手术团队和相关设备要求极高,目前能够独立开展这项手术的医院并不多。
此次接受手术的奉老是一位74岁的老人。近年来,他反复出现劳力性呼吸困难,活动耐量越来越差。在当地医院接受药物保守治疗后,症状并未完全缓解。经多方了解,奉老及其家属慕名来到湘南学院附属医院心血管内二科,找到李维军主任团队求诊。他们希望通过不开胸的 TAVR 手术改善病情。
入院后,李虎主治医师迅速为奉老完善相关术前检查。李维军主任团队经评估发现,奉老的主动脉瓣钙化病变严重,冠脉局部狭窄,而且老人还患有高血压、糖尿病,这些因素叠加在一起,大大增加了手术的难度。
![]()
为确保手术顺利进行,湘南学院附属医院迅速组建 TAVR 团队。心外科、麻醉科、神经内科、医学影像科以及超声科等多学科专家迅速行动,发挥各自专业优势,共同制定了详细周全的手术方案。手术过程中,医生们通过股动脉将人工主动脉瓣膜精准输送至主动脉瓣区并成功打开,顺利完成人工主动脉瓣膜置入,恢复了瓣膜的正常功能。手术十分成功,效果显著,得到了患者和家属的高度称赞。目前,奉老已康复出院。
此次 TAVR 手术的成功实施,是湘南学院附属医院多学科协作的胜利,也意味着医院在心血管疾病诊疗领域的技术更加成熟。
编辑:李丽君 审核:李莉 许莉珺

