- 发布人:xnxy120
- 时间:2025-03-19
- 来源:
- 浏览量:770
本网讯(通讯员 谭卫龙)心脏,作为人体的“生命发动机”,一刻不停地为生命活动输送动力。然而,传统超声检查有时难以清晰显示左心腔结构和血流情况,给医生准确诊断带来了挑战。左心声学造影技术就像给医生配备了一双“透视眼”,让心脏的各种问题无处藏身。![]()
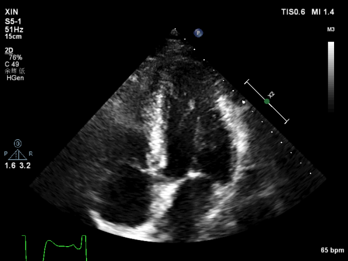
经胸超声心动图提示,心尖四腔心:心尖部心肌及心内膜显示模糊不清。
什么是左心声学造影?它有什么用?
左心声造影是超声心动图的一项新技术检查,通过声学增强剂(声诺维SonoVue),利用微泡在声场中的非线性效应和所产生的强烈背向散射来获得对比增强图像,有利于左心系统心内膜边界的清晰识别、左心腔细微解剖结构的观察、节段性室壁运动的分析,能提高对心脏疾病诊断准确性。
左心声学造影有哪些突出优势?
成像更清晰:造影剂注入后,左心腔显影更加清晰,即使是细微的结构异常也能被发现,提高诊断准确性。
检查更全面:可清晰显示心内膜边界,准确评估左心室大小和功能,为心脏疾病的诊断和治疗提供更全面的信息。
使用更安全:所用造影剂安全可靠,经肺代谢,不依赖肝肾,副作用极少。
操作更便捷:操作简单,可重复性好,患者接受度高。
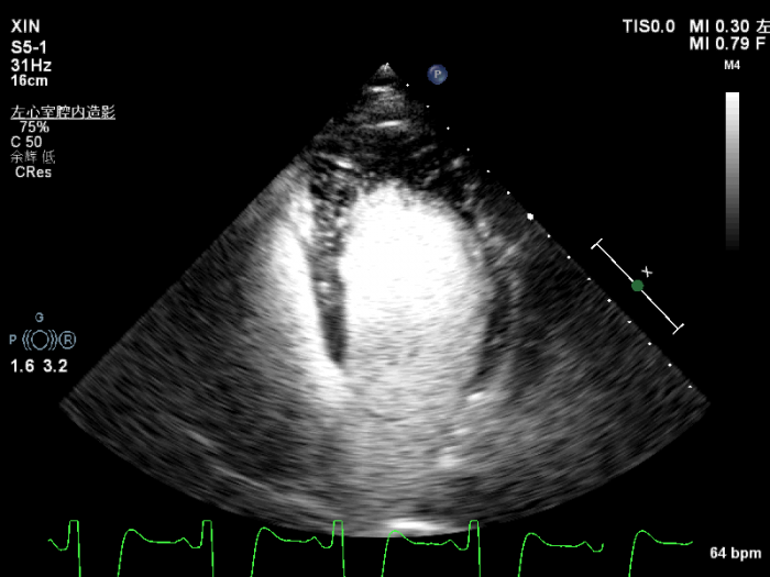
![]()
经左心声学造影提示,心尖四腔心:心尖部心肌明显肥厚,呈”黑桃样”改变,心尖部心肌灌注稀少。
哪些情况需要做左心声学造影?
精确评估心脏功能:
临床需要精确评估左心室射血分数:如(接受化疗、已知心功能不全患者在临床状态变化时的重新评估、心肌梗死后心室重构、心脏移植、评价是否应当安置心内装置等)。
精确观察心脏病理解剖结构:
对于左心室心尖部结构异常、左心室心肌致密化不全、心内血栓、鉴别心腔内占位病变、心肌梗死后并发症、心室结构异常等,左心声学造影能帮助医生及时发现并评估这些问题。
目前,我院超声科已经熟练掌握并成功开展了左心声学造影和右心声学造影检查技术。左心声学造影凭借使用方便、安全有效等优点,为心脏疾病的诊断开辟了新途径,为广大患者的心脏健康保驾护航。
编辑:李丽君 审核:李莉 许莉珺

