- 发布人:xnxy120
- 时间:2025-05-16
- 来源:
- 浏览量:761
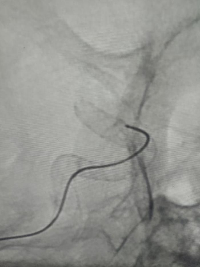
本网讯(通讯员 曾维军)71岁的李先生怎么也没想到,一场突发的口角歪斜竟让他与死神两次“擦肩”。因急性脑梗死入院的他,在头颅 MRI 检查后被确诊为脑梗死,而随后的DSA脑血管造影却如同一声惊雷——右侧颈内动脉海绵窦段存在一处6.1mm大小的梭形动脉瘤,同侧交通段也存在一处3.2*2.8mm大小的囊状动脉瘤,两颗高风险“炸弹”正潜伏在颅内。
![]()
“就像同时揣着两颗拉了引线的炸弹,稍有不慎就会万劫不复。” 神经内二科主管医师曾维军回忆病情时仍心有余悸。更棘手的是,脑梗死与动脉瘤并存的情况如同“双刃剑”:既要打通堵塞的血管恢复脑血流,又要防止动脉瘤破裂出血,传统治疗手段如同在钢丝上跳舞,稍有偏差就可能危及生命。
关键时刻,神经介入团队将目光投向了新型血流导向装置 —— 密网支架。这种直径仅5mm的精密器械,成为破局的关键。手术台上,主刀医生通过微导管将密网支架精准送入载瘤动脉,当支架如花瓣般展开的瞬间,它的“特殊技能”开始发挥作用。30%-35%的高金属覆盖率如同一张细密的防护网,不仅将动脉瘤与正常血流隔绝,更像一位“智能管家”引导血流重新规划路径。“传统支架的金属覆盖率只有5%-7%,就像用稀网捕鱼,而密网支架如同编织了一张坚固的渔网,既能拦住‘危险的鱼’,又能让‘水流’顺畅通过。”科主任陈雁斌打了个形象的比方。
![]()
这种革新不仅体现在物理屏障上。术后第三天的造影显示,载瘤动脉已恢复通畅,动脉瘤内开始形成血栓——这正是密网支架的 “生物魔法”。一方面,高达85% 的血流导向效率,让原本冲击动脉瘤的高速血流被温柔“引流”;另一方面,支架表面加速 30% 的内皮化进程,促使动脉瘤逐渐闭合。“过去我们靠填塞弹簧圈‘堵’住动脉瘤,现在是让血管自己‘长’好,就像园丁不再用木桩支撑歪树,而是引导根系自己扎稳。” 曾维军解释道。
术后第七天,李先生已经能够平稳行走,握着医护人员的手反复感慨:“没想到脑袋里的‘炸弹’能这样无声无息地拆除。” 这场与死神的赛跑,充分展现了湘南学院附属医院神经介入团队毫米级的操作精度。
随着密网支架纳入医保,更多患者将受益于这项技术,医院同期开展的“人工智能辅助动脉瘤破裂风险预测”项目,将进一步推动精准医疗在神经介入领域的应用。
编辑:李丽君 审核:李莉 许莉珺

