- 发布人:xnxy120
- 时间:2026-01-23
- 来源:
- 浏览量:189
本网讯(通讯员 陈琼)“现在我能正常走路、安稳睡觉,还能打球,再也不用被疼痛折磨了!”近日,14岁的临武男孩小远(化名)脸上终于重现少年应有的活力。谁能想到,这个昔日的阳光少年已与“儿童肿瘤之王”神经母细胞瘤抗争了整整十年。
神经母细胞瘤是儿童最常见的颅外实体肿瘤,其发病率高、进展迅速、死亡率高且治疗难度大的特点,让无数家庭陷入绝望。小远在10年前被确诊为神经母细胞瘤IV期,伴随淋巴结、骨、骨髓多处转移,经广东多家医院化疗后病情稳定出院。但2024年起,小远左侧腹股沟反复胀痛,夜间剧痛更是严重影响睡眠,辗转多地治疗仍收效甚微。2025年5月,小远一家抱着最后一线希望来到湘南学院附属医院就诊。
![]()
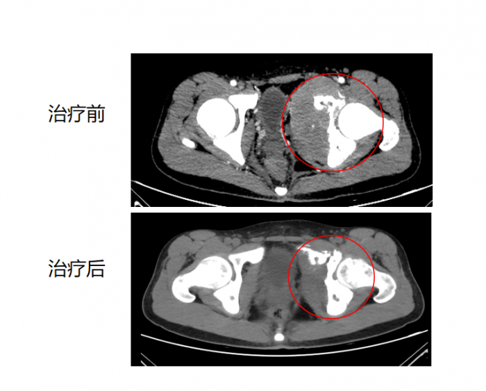
接诊后,肿瘤一科主任谢开红带领团队迅速完善相关检查,确诊肿瘤复发,盆腔巨大肿块并广泛侵犯骨骼。结合小远的病情和身体状况,决定采用国际先进的空间分割放疗技术联合药物系统治疗,为其量身定制个性化治疗方案。
相较于传统放疗的“均匀照射”模式,空间分割放疗堪称肿瘤治疗的“精准调控革命”。它巧妙融合免疫治疗与人工智能,在肿瘤内部构建出“高剂量峰”与“低剂量谷”的独特剂量分布,既能直接摧毁肿瘤细胞核心,又能最大限度保护周围正常组织,同时激活人体免疫系统,实现“杀瘤、护正常、强免疫”的三重功效。
治疗期间,主治医生朱欢密切监测小远的身体反应,及时调整治疗参数,确保方案精准适配个体需求。经过5次空间分割放疗及后期的药物治疗,小远的疼痛症状完全消失,复查显示肿块明显缩小,现在不仅能正常行走,还能进行适量运动,生活质量实现质的飞跃。
从十年抗争到重获新生,小远的治疗故事是湘南学院附属医院以技术革新守护生命的缩影。医院将持续聚焦“精准化、个体化、微创化”发展方向,深化前沿肿瘤治疗技术的临床转化与应用,让难治性、复发性肿瘤患者在家门口就能享受国际先进医疗服务,为更多肿瘤家庭点亮希望之光。
延伸链接:
作为郴州市肿瘤诊疗中心,湘南学院附属医院肿瘤科已构建起完备精准放疗体系,全面开展空间分割放疗、调强放疗、容积旋转调强放疗等国际主流技术,同时深耕微创介入治疗,常规开展微波消融、粒子植入等核心技术,形成“设备先进、技术齐全、多学科协作”的诊疗格局。科室现为临床重点专科建设项目(培育)单位,依托多个肿瘤精准医学省部级研发平台,配备湖南省地级市首台肿瘤精准放射治疗仪(TOMO)等尖端设备,为各类精准放疗技术的临床应用筑牢坚实保障。
一审:李丽君 二审:李莉 许莉珺 三审:蒋玉兰

